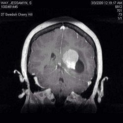
Jessamyn Way

I wore size 23 and had multiple brain tumors. Ive had 6 brain surgeries and failed 18 medications for epilepsy. I now race Triathlons.

Placed 11th

in their group

We would like to thank you for supporting Jessamyn Way in this year's competition. Your participation allows us to aid Be Positive Foundation's mission to provide financial assistance to families, fund childhood cancer research, and bring awareness to the fight against childhood cancer.

 

Powered by Colossal

Colossal is a nationally registered professional fundraiser that inspires people to advocate for themselves and those in need. Through online competitions like Ms. Health & Fitness, Colossal offers participants the opportunity to make their mark while also making a big impact.


Meet Colossal